インプラントとは?
インプラントとは、歯を失った部分の顎の骨に人工の歯根を埋め込み、骨と人工歯根が結合したら人工の歯を装着する義歯です。
自分の歯と同じように食事や会話を楽しむことができて、入れ歯は合わないという方にもおすすめの、ほかの健康な歯への影響も少ないのが特徴です。
歯科医院での定期的なメンテナンスを続ければ長く使い続けることができる、いわば「第二の永久歯」です。
なかむら歯科が
インプラントに強い
3つのポイント
① インプラント手術の経験豊富な院長が手術します
インプラント手術は一般的な歯科治療よりもさらに高度な技術が要求されます。
当院の院長は、さまざまな症例のインプラント手術を経験してきました。
高度な知識と多くの経験で、できるだけ負担が少なく精密なインプラント手術をご提供いたします。
② 治療前に費用や期間、デメリットなどを誠実にご説明
患者さまご自身がご納得された上で治療を行えるよう、専門的な言葉は極力減らしながらしっかりとご説明するようにしています。
まずは患者さまの状態を伺って、どのような治療があって、どれだけ選択肢があるのか、費用はどれくらい必要なのか、今自分の歯がどういう状態なのかなど詳しくお話しし、メリットだけでなく、デメリットもご説明いたします。
③ 世界中で採用され信頼と実績の高いインプラントメーカーを採用しています
当院では、世界に100社以上あるインプラントメーカーの中でも、世界的シェアを誇る『ZimVie』(ジンヴィ)社のインプラントを採用しています。
ZimVie社は歯周病を専門的に扱う歯科医師が1987年に立ち上げたBiomet 3iを前身としています。インプラントの表面は特殊な構造となっており、インプラントと骨が比較的早く結合します。関連器具の種類も豊富で精度が高く、多くの症例に対応可能です。
私がインプラント手術を行います
歯を失ってしまった場合、「入れ歯」「ブリッジ」「インプラント」の3つの治療法があります。
入れ歯は健康な歯に金属のバネをかける必要があり、ブリッジも健康な歯に負担をかけてしまいます。
当院のインプラント治療では、歯科医師の高い技術力と経験だけでなく、可能な限りリスクを少なくしたインプラント治療を心がけております。
インプラント治療をお考えの方はまずは一度ご相談ください。
-
経歴
-
豊中市立泉丘小学校卒業
-
豊中市立第11中学校卒業
-
大阪府立北野高等学校卒業
-
国立大学法人岡山大学卒業
-
約12年間、
・医療法人 飯田歯科
・医療法人 宮前歯科クリニック
・医療法人 成和歯科診療所 千里ペリオインプラントセンター
にて勤務 -
2024年に【なかむら歯科】を開業
-
-
所属・資格
-
日本臨床歯周病学会 認定医
-
日本顎咬合学会 認定医
-
日本歯科審美学会 認定医
-
インビザライン認定ドクター
-
JIADS STUDY CLUB 所属
-
JIADS STUDY CLUB OSAKA 所属
-
JIADS STUDY CLUB OSAKA OF LITERATURE REVIEW 所属
-
STUDY CLUB歯庵 所属
-
インプラント治療の
流れ
-
カウンセリング
患者さまのお悩みやご要望を、時間をかけてうかがいます。
普段の生活や持病などについてもお聞かせ頂きながら、インプラント治療に関して、「治療の流れは?」「メリット・デメリットは?」についても詳しくお話しします。
-
検査
当院では、歯科用CTを用いて、検査の精度を高めています。
むし歯や歯周病の症状がないか、かみ合わせの状態はどうかといったことも調べます。
-
治療計画の
ご提案・ご契約カウンセリングの内容と検査結果をもとに治療計画を作成します。
治療期間や費用についての説明も丁寧にいたしますので、ご不明な点がございましたら何でもお聞きください。治療計画を十分にご理解・同意していただいてから、治療を始めます。
-
一次手術
骨にインプラントを埋め込み、インプラントと骨が結合するのを待ちます。
安全面に最大限注意して手術を行いますのでご安心ください。
-
二次手術
インプラントが骨に定着したら、インプラントと人工歯を接続するアバットメントを取り付けて、かみ合わせが行えるように調整した人工歯を装着したら治療完了です。
-
定期検診・
メンテナンス治療後は定期検診に通院していただきます。
磨き残しやかみ合わせなどをしっかりとチェックして、末永くインプラントで生活できるようにお手伝いします。<定期メンテナンスでの
確認点>- かみ合わせの確認
- インプラント周囲炎や歯周病など、疾患の有無を確認
- インプラントは、その後のケアによって、口腔内での長期維持の達成が大きく変わります。
- トラブルを防ぐため、そして、インプラントを最大限に長く活用するために、定期的にメンテナンスにお越しくださいますようお願いいたします。
治療費用
|
項目 |
価格(税込) |
|---|---|
| 1次手術 | 220,000円 (人工骨代含む) |
| 2次手術 | 55,000円 |
| 上部補綴 | 220,000円→ インプラント 1本 総額495,000円 (上記金額には診査診断料も含みます) |
| インプラントプロビジョナルレストレーション | 1歯33,000円 |
| ロケーターアバットメント | 1本66,000円 |
※インプラント1本の基本料金(総額)は495,000円(税込)です。
インプラント関連手術
|
項目 |
価格(税込) |
|---|---|
| GBR | 165,000円~275,000円 |
| ソケットリフト | 1本 110,000円 |
| サイナスリフト | 165,000円~275,000円 |
| CTG(歯肉移植) | 77,000円 |
※骨や歯肉のボリュームが足りない場合に必要となる追加の処置です。
※自由診療です。
※デメリット・リスク:外科手術と定期的なメンテナンスが必要となります。治療後は定期的なメンテナンスが必須です。
※治療期間 例:2回法 約3~7ヶ月、治療回数 約4~6回
※治療の流れ:顎骨の状態を確認してからインプラントを埋入し、顎骨と結合したら人工歯を装着します。
各種クレジットカードでのお支払いも対応しております
インプラントの保証について
保証期間内で、割れる・欠ける・抜けるといったトラブルが生じた場合、その後の再治療に要した費用の保証をさせていただきます。
<保証期間について>
- 術後5年未満の再治療は 自費料金の全額を当院が負担
- 術後5~6年の再治療は 自費料金の50%を当院が負担
- 術後6~7年の再治療は 自費料金の25%を当院が負担
- 術後7~8年の再治療は 自費料金の10%を当院が負担
*術後9年目以降は 患者様に全額ご負担いただくこととなります。
<保証の対象とならないケース>
- 転倒や交通事故などの外傷による破損の場合。
- セルフケアの不足によるむし歯などを患った場合。
- 定期的な検診、メンテナンスをお受けにならなかった場合。
- ナイトガードの装着やホームケアでの注意事項などを遵守されなかった場合。
- 予測不能な疾患(感染症や口腔がんなど)により、口腔内が急激に変化した場合。
上記の場合は、保証制度の対象外となるため、患者様の全額ご負担になります。
詳細については、当院までお問い合わせください。
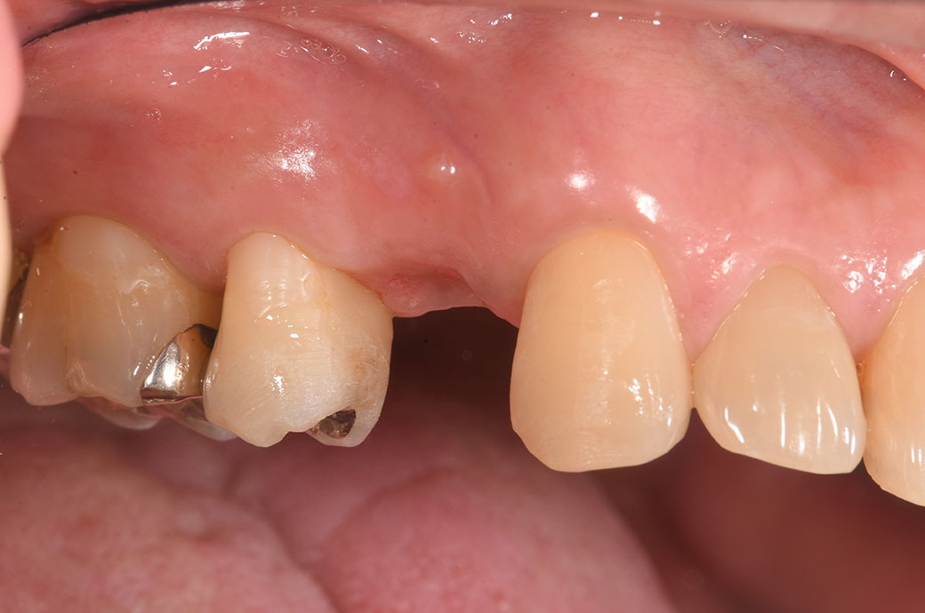
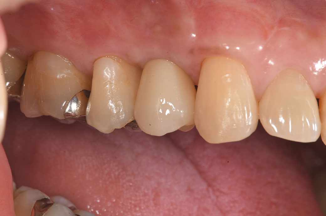
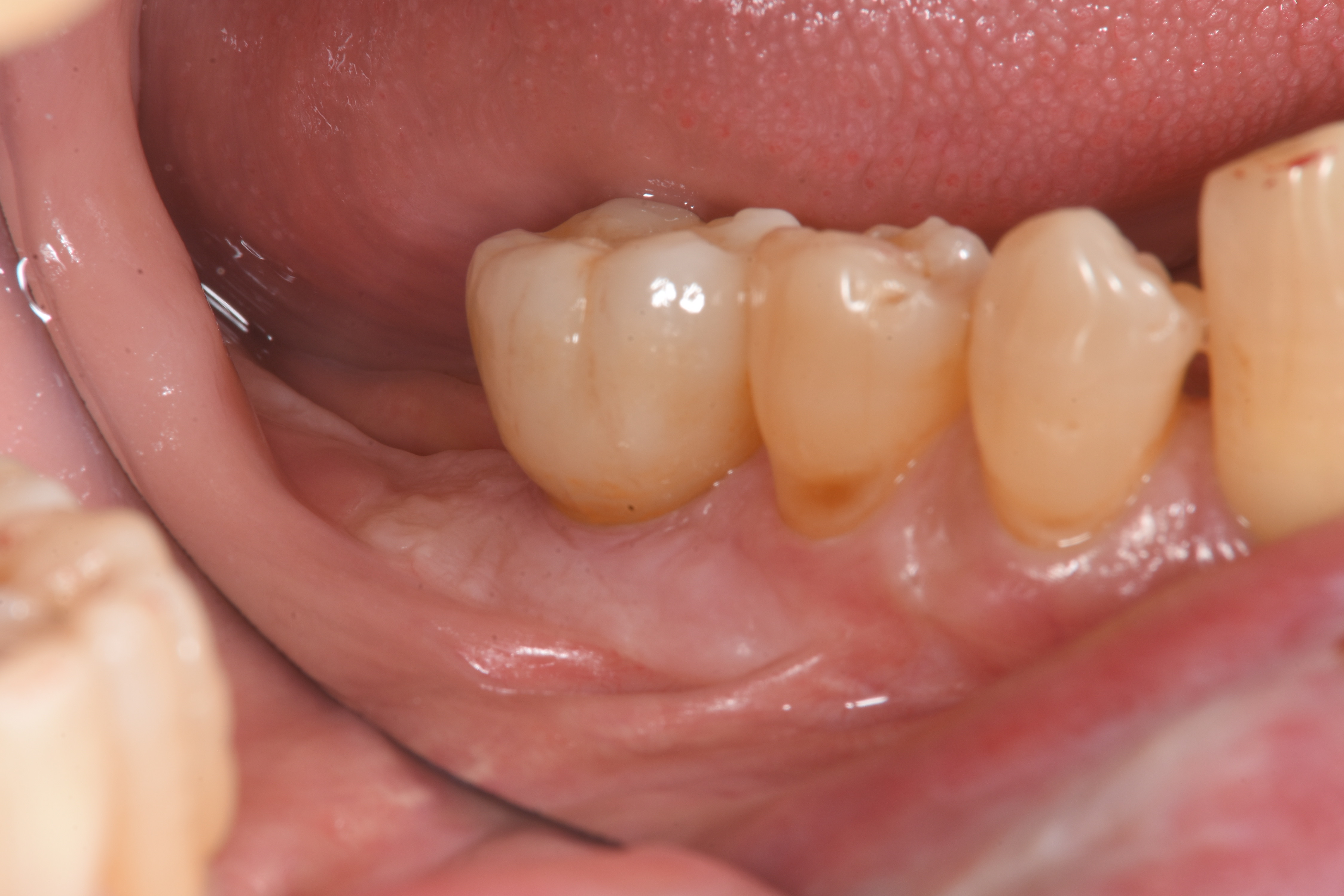
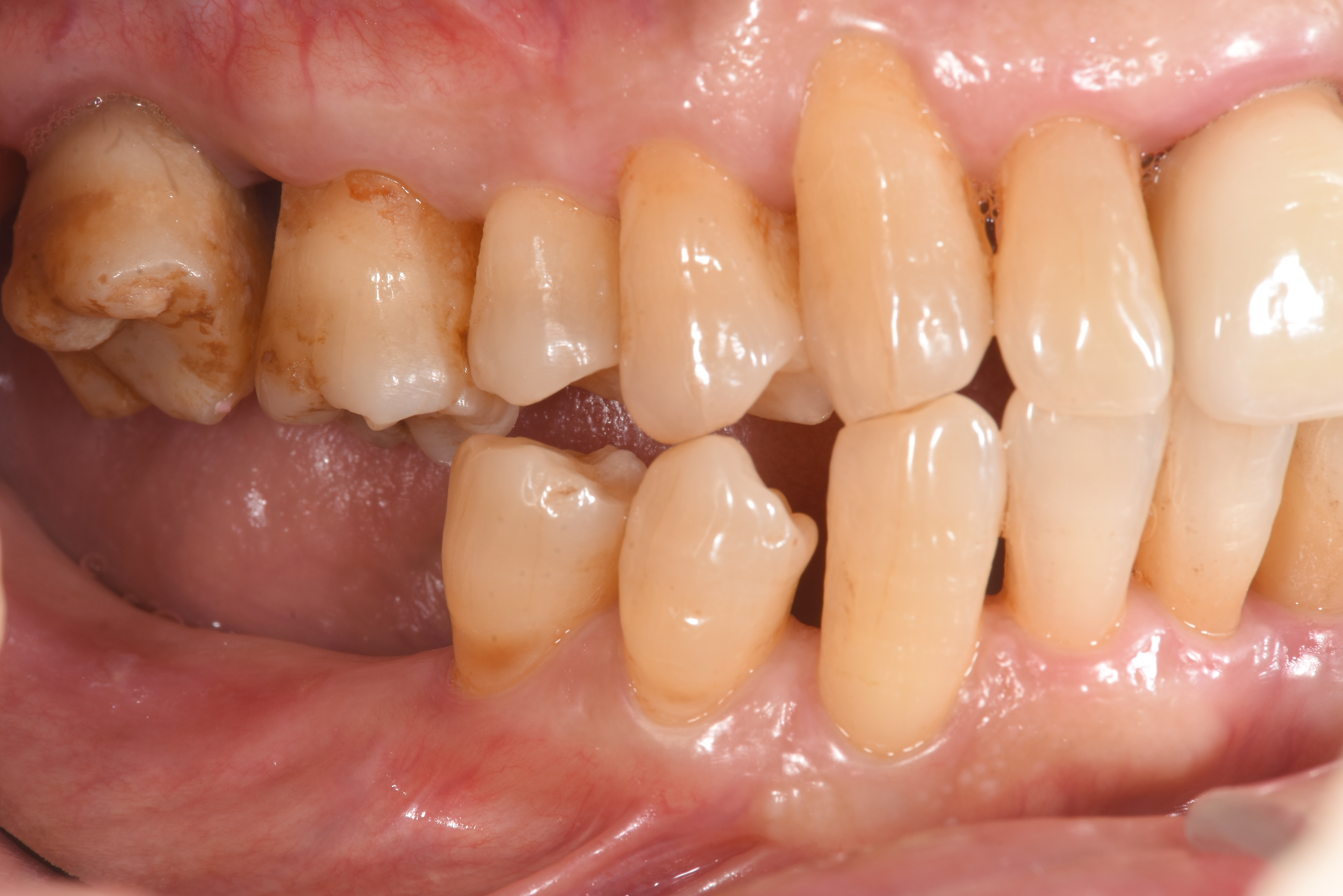
症例
before
after
| 患者年齢 | 72歳 男性 |
|---|---|
| 費用 | 495,000円 (税込) |
| 主訴 | 奥歯を入れてほしい |
| 治療期間 | 5ヶ月 |
| デメリットとリスク | このケースに限らず、インプラント治療は費用と期間が必要です。 また、外科的な治療が必要となるため、お体の状態によっては適用できない場合があります。 詳しくは医師にご相談ください。 |
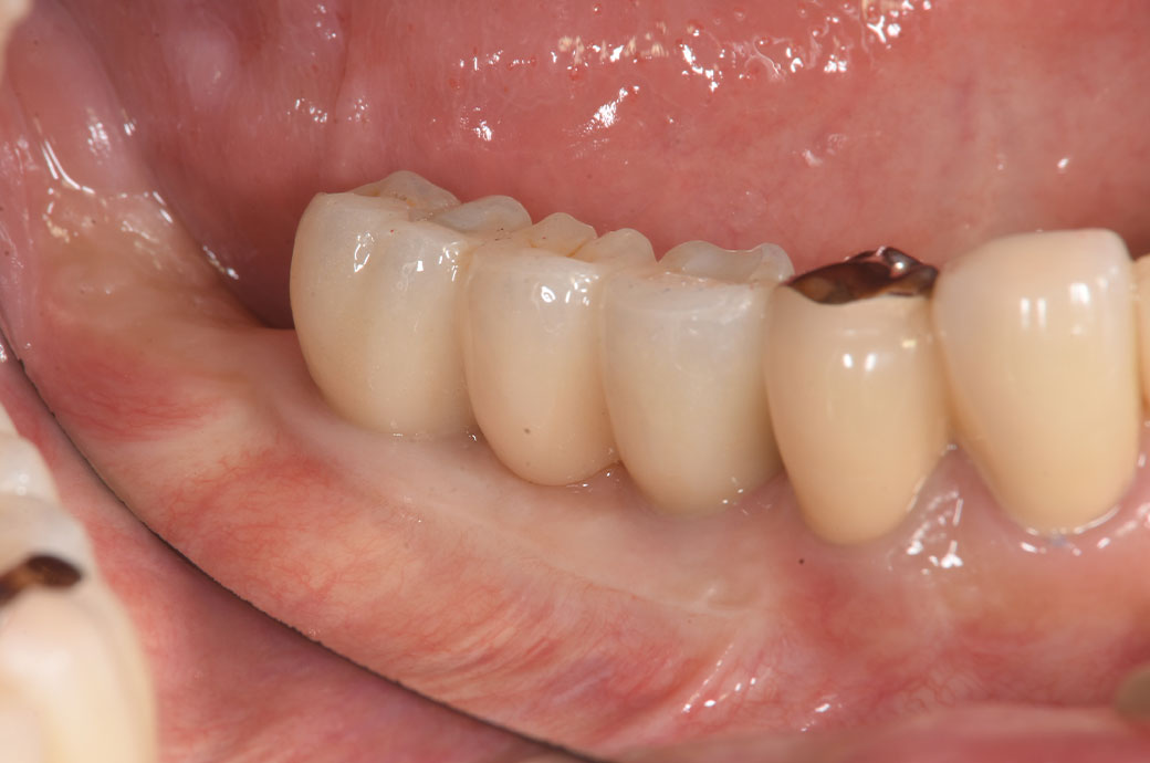
before

after

| 患者年齢 | 54歳 男性 |
|---|---|
| 費用 | 528,000円 (税込) |
| 主訴 | 右上の歯の欠損に対し、インプラント治療を希望。 |
| 治療期間 | 6ヶ月 ※審美領域におけるインプラント治療は、専用のインプラント仮歯により、歯肉の形態調整が必要です。 インプラント費用45万円に別途3万円 (税別)と、治療期間が必要です。 |
| デメリットとリスク | このケースに限らず、インプラント治療は費用と期間が必要です。 また、外科的な治療が必要となるため、お体の状態によっては適用できない場合があります。 詳しくは医師にご相談ください。 |
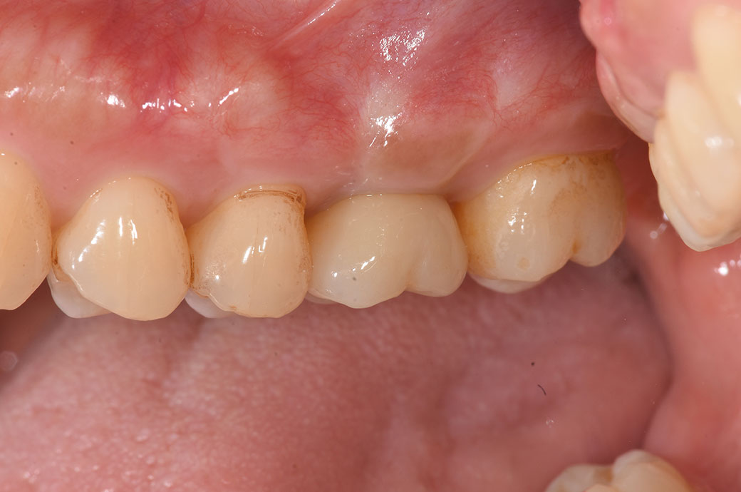
before

after

| 患者年齢 | 59歳 女性 |
|---|---|
| 費用 | 1,197,900円 (税込) |
| 主訴 | 奥歯3本のインプラント治療希望 |
| 治療期間 | 6ヶ月 ※奥歯3本を欠損していても、本ケースのようにブリッジにすれば、コストを抑えられます。 |
| デメリットとリスク | このケースに限らず、インプラント治療は費用と期間が必要です。 また、外科的な治療が必要となるため、お体の状態によっては適用できない場合があります。詳しくは医師にご相談ください。 |
before

after

| 患者年 | 64歳 女性 |
|---|---|
| 費用 | 605,000円 (税込) |
| 主訴 | インプラント治療希望 |
| 治療期間 | 5ヶ月 |
| デメリットとリスク | 本ケースでは、ソケットリフト法を併用しました。 この術式は、副鼻腔炎などの鼻症状がある方には適用ができません。 また、このケースに限らず、インプラント治療は費用と期間が必要です。 外科的な治療も必要となるため、お体の状態によっては適用できない場合があります。詳しくは医師にご相談ください。 |
医療費控除
医療費控除とは、1年間に支払った医療費が10万円以上だった場合(※1)に適用され、本人及び生計を同じにする配偶者・親族が支払った年間医療費(※2)を翌年の3月15日までに申告すると、医療費が税金の還付、軽減の対象となる制度です。
※1:年収によっては10万円以下でも可
※2:毎年1月1日から12月31日までの期間
- ・本人の医療費のほか家計が同じ配偶者や親族の医療費も対象となります。
- ・共働きの夫婦で妻が扶養家族からはずれていても、妻の医療費を夫の医療費と合算できます。
- ・明細書の記入内容の確認のため、領収書などは大切に保管しておいてください。
【医療費控除に必要なもの】
- 治療費の領収証
- 税務署でもらう書類(申告書、医療費の明細書)
- 医療保険などで補填された金額のわかるもの
- 給与所得者の場合には、還付申告をする年分の源泉徴収表
- 認印、還付金を受け取る口座番号(本人名義のもの)