Blog ブログ
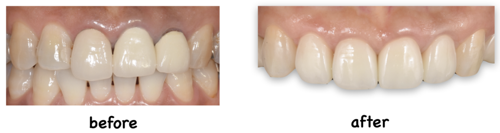
こんにちは。 もうすぐ新しい年度を迎えますね。まだまだ、寒暖差の大きな日が続いております。 みなさま、体調にお気をつけてお過ごしくださいね。 本日は、前歯部のセラミック修復による審美歯科治療症例のご紹
こんにちは!なかむら歯科です。 今回は、矯正治療症例のご紹介です。 成人の矯正治療では、従来のワイヤーを用いた矯正治療と、マウスピース型の矯正治療があります。 それぞれに得手不得手があり、それぞれの特
こんにちは。なかむら歯科です。 寒さが続いておりますが、皆様体調は崩されていませんでしょうか。 本日は、ブリッジ治療のご紹介です。 歯をやむを得ず失ってしまったのち、1つの選択肢としてブリッジという選
こんにちは! 最近、めっきり寒くなってきましたね!インフルエンザも流行しておりますので、どうか風邪などひかないようにお体にお気をつけくださいね。 本日は、審美歯科治療症例をご紹介いたします。 古くなっ
こんにちは。 桃山台の歯医者【なかむら歯科】です。 「歯ぎしりをしているとインプラント治療を受けられない」という話を聞いたことはありますか? 歯ぎしりは、就寝時など無意識のうちに、歯をす
こんにちは! 最近は、朝晩がかなり冷えるようになってきましたね。季節の変わり目、体調など崩されないよう、皆様お気をつけくださいね。 本日は、包括的歯科治療の症例をご紹介します。 包括的歯科治療とは、歯
こんにちは! 少し朝晩が肌寒くなってきましたね。みなさま、風邪などひかれないようお気をつけくださいね。 本日は、破折してしまった歯を矯正治療を用いて保存した症例をご紹介いたします。 48歳女性
こんにちは! すっかり秋に入り、朝晩が涼しくて気持ちの良い季節になってきましたね! 季節の節目、体調など崩されないようお気をつけてお過ごしくださいね! 今回は、矯正治療の症例をご紹介します。 こちらの
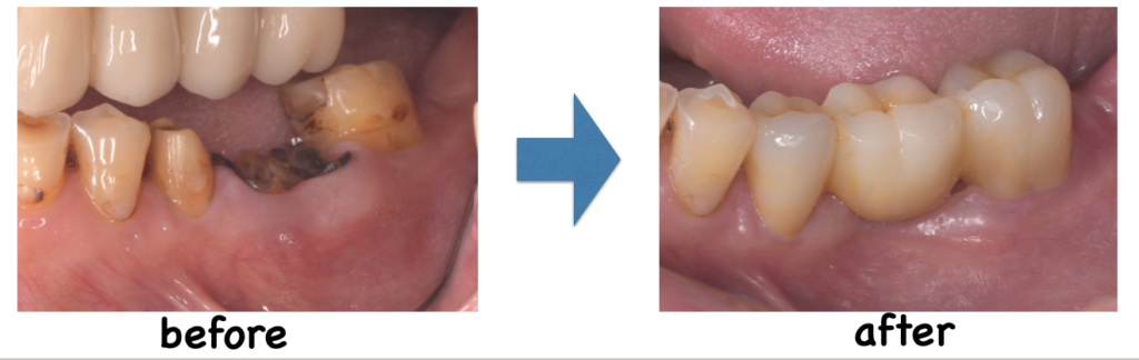
こんにちは! 今年の猛暑も随分と和らぎ、すっかり秋ですね。季節の変わり目、体調など崩されませんよう、皆様お気をつけてお過ごしくださいませ。 今回は、インプラント治療症例のご紹介です。 犬歯の歯根が破折
こんにちは。 桃山台の歯医者【なかむら歯科】です。 歯周病を発症する直接的な原因となるのは、お口の中に溜まった歯垢(プラーク)です。 そのため、歯周病を改善するためには「できるだけプラー